- Все про товар
- Відгуки клієнтів (0)
ОСНОВНІ ХАРАКТЕРИСТИКИ DANUS 30 FOCUS&FUSION:
- широкоформатний монітор високої роздільної здатності 21.5" LCD Full HD;
- 13,3 – дюймова сенсорна панель керування;
- 4 активних порти для датчиків;
- підсвітка клавіш;
- ергономічний дизайн: 6 холдерів;
- відділення для розміщення принтера;
- вбудовано 128 Гб SSD (система) + 1 Тб HDD (зберігання даних);
- підігрівач гелю;
- вбудований акумулятор.
ПЕРЕВАГИ DANUS 30 FOCUS&FUSION:
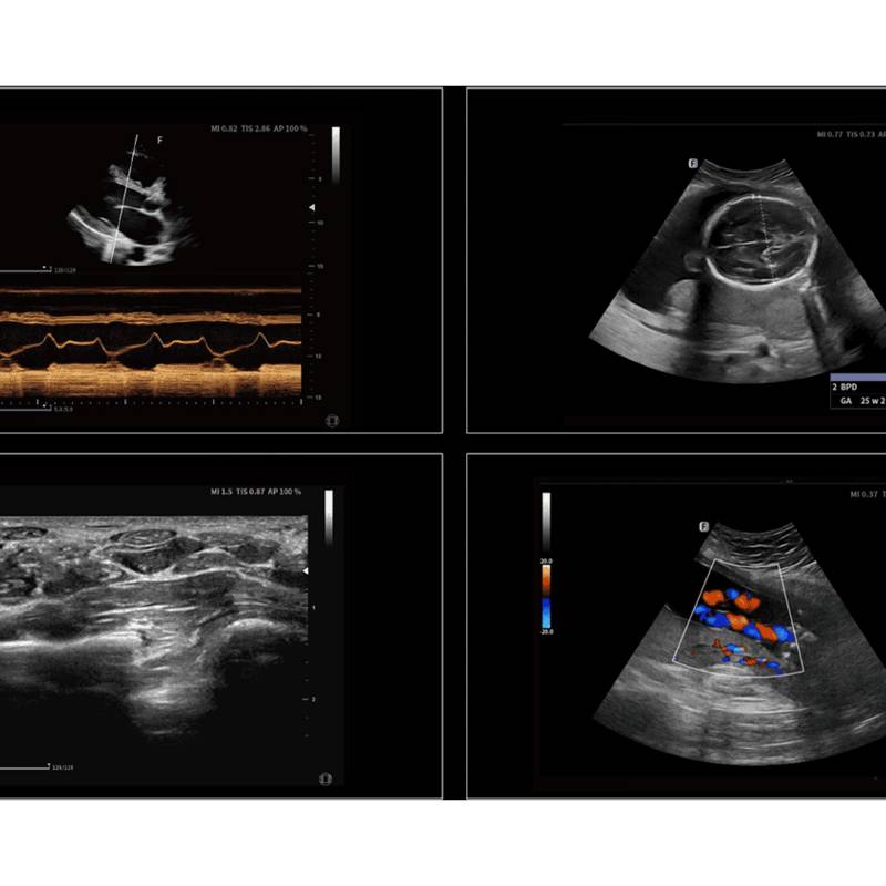
- Hi Platform — підтримує платформу HiFlow, що забезпечує чутливіший і динамічніший кольоровий потік. Зображення з повним фокусуванням покращує чіткість кожної ділянки і забезпечує стабільну високу роздільну здатність. Технологія фазової візуалізації кровотоку використовує інформацію про час і просторові параметри для поліпшення захоплення сигналів низькошвидкісного кровотоку і рухомих тканин, ефективно пригнічує перешкоди сигналу, не пов'язаного з кровотоком.
- Монокристалічні датчики BTM — забезпечують чутливе та точне виявлення сигналу, кращу роздільну здатність і проникнення, а їх легка конструкція дозволяє працювати значно довше.
- SNS+ — автоматичне виявлення та придушення спекл-шумів за допомогою багатовимірного алгоритму, що забезпечує отримання та поліпшення деталізації зображення при дослідженнях у різних напрямках. Миттєве отримання зображення меж великих органів і пошкоджених ділянок на субміліметровому рівні.
- OMG — унікальна технологія переваги у виробництві датчиків, що удосконалюють процес виготовлення основних елементів, таких як п'єзоелектричні матеріали. Також впроваджують комплексні заходи захисту від електромагнітного випромінювання, та ефективно екранують сигнали завад, які надходять на акустичну голівку, забезпечують ефективну фільтрацію датчиків. Щоб вирішити цю проблему, Focus & Fusion Healthcare використовує матеріали для поглинання електромагнітних хвиль авіаційного класу у внутрішній апаратній схемі основного блоку, що забезпечує пряму фізичну фільтрацію від сильних електромагнітних перешкод.
ІНТЕЛЕКТУАЛЬНИЙ РОБОЧИЙ ПРОЦЕС DANUS 30:
- Auto Volume Flow —автоматизоване вимірювання площі судини і швидкості кровотоку за спектром дозволяє відобразити результати об'єму кровотоку;



- Auto IMT — автоматичне визначення та вимірювання товщини комплексу інтима-медіа. Можливість вимірювання передньої та задньої стінок як лівих, так і правих судин;

- Auto Track-C — швидке переміщення ROI на судину натисканням однієї кнопки. Зменшує навантаження лікаря, пов'язане з частим регулюванням положення та кута ROI (області інтересу) через різне розташування судин, і підвищує ефективність;
- Dual Live — зображення B та B+C відображуються одночасно для кращої діагностики;

- fShare — підтримує надсилання інформації електронною поштою на комп’ютер, мобільний телефон, планшет тощо. На особистих пристроях не потрібне додаткове програмне забезпечення;
- fAssist — надання навчальної інформації щодо обстеження черевної порожнини, судин, дрібних органів, гінекології, м’язово-скелетної системи тощо, включаючи стандартні ультразвукові зображення, анатомічні діаграми, методику сканування та поради.

Технічні характеристики Danus 30 FOCUS&FUSION
|
Модель класу |
Експертний |
|
Додаткові модулі |
|
|
Пам’ять |
1Т HDD 128G SSD ( Додатково 256 G/512G/1T) |
|
Екран |
Монітор 21.5″, Сенсорний екран 13,3″ |
|
Батарея |
Безперервне сканування протягом 1 г. У режимі очікування › 1,5 год. (Додатково) |
|
Умови живлення |
Вхід: 100-240В˜, 5,0 А, 50-60 Гц |
|
Води/Виходи |
USB 3.0*2; USB 2.0*1, Ethernet; HDMI, VGA; S-Video; StereoAudio |


















































